Menu
Jak vypadají zuby kuřáka? Co se děje s vašimi zuby, když kouříte

Výpočet prodloužení žloutnutí zubů po kouření

Jak rychle se vaše zuby žloutnou?

Zadejte své kouřící zvyky a náš nástroj vám ukáže, jak rychle se vaše zuby barví a jak se může toto poškození zastavit.

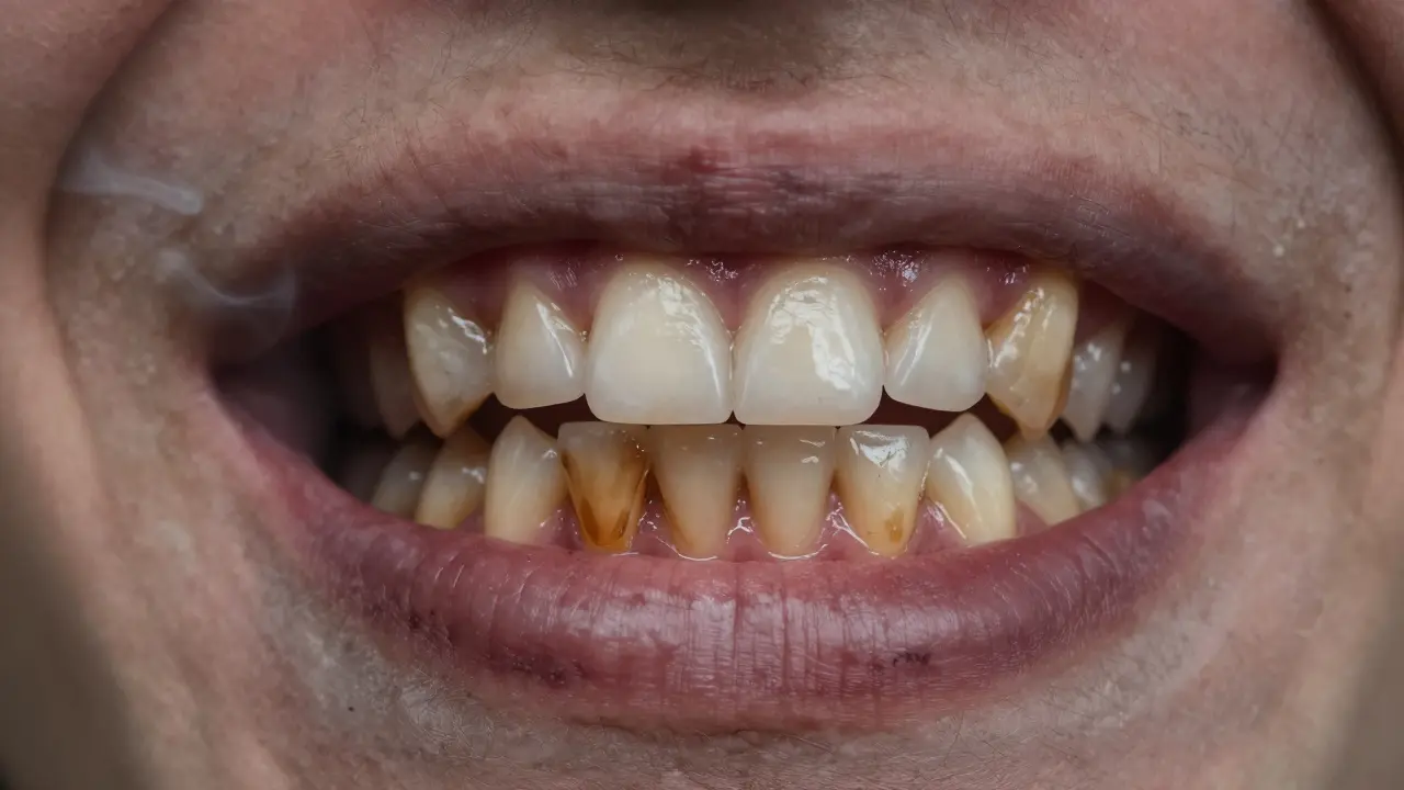
Zuby kuřáka nevypadají jen špatně - vypadají jako důsledek dlouhodobého poškozování, které se nezastaví jen tak, že si koupíte bělicí pásku. Pokud kouříte, vaše zuby nejsou jen žluté. Jsou poškozené zevnitř, a to i tehdy, když si je pravidelně čistíte. Nejde jen o estetiku. Jde o zdraví, které se postupně rozpadá, aniž byste to včas poznali.

Co vlastně dělá kouření s vašimi zuby?

Když kouříte, do úst vstupuje směs tisíců chemických látek. Mezi nimi jsou nikotin, tar, formaldehyd a další karcinogeny. Tyto látky se usazují na povrchu zubů, ale nejen tam. Pronikají do mikrotrhlin ve sklovině, kde se trvale barví. Tar je hlavní viník žluté až hnědé barvy - je to hustá, lepkavá hmota, která se přilepí na zuby stejně jako na prsty nebo stěny cigaretového popelníku.

Nejhorší je, že kouření snižuje krevní oběh v dásních. To znamená, že vaše tělo méně efektivně bojuje proti infekcím. Dásně se začnou odšlapávat, vznikají zářezy, zuby se uvolňují. Mnoho lidí si myslí, že když nemají bolest, je vše v pořádku. Ale zubní lékaři vidí, že kuřáci často přijdou s pokročilou parodontózou - a to i když se pravidelně čistí zuby.

Jak vypadají zuby kuřáka ve skutečnosti?

Představte si zuby, které nejsou jen žluté, ale mají tmavé skvrny, jako by je někdo šmíral černou barvou. Tyto skvrny nejsou jen na povrchu - jsou vnořené do sklovině. Při zubním vyšetření je vidět, že sklovině je ztenčená, má více mikrotrhlin a je méně odolná proti kávě, čaji nebo červenému víně. I když si kuřák čistí zuby dvakrát denně, tyto skvrny neodstraní běžná zubní pasta.

Ve většině případů se zuby kuřáka barví od spodních hranic, kde se dotýkají dásní. To je přesně tam, kde se nejvíce usazuje tar a kde je krevní oběh nejhorší. Výsledek? Zuby vypadají jako by měly „černé krajky“ u dásní - a to i u lidí, kteří kouří jen pár cigaret denně.

Proč bělicí pásky nejsou řešením?

Na trhu je spousta reklam na bělicí pásky, které slibují „bílé zuby za 7 dní“. Ale pokud kouříte, tyto pásky neřeší problém - jen ho maskují. Bělicí látky, jako je peroxid vodíku, působí jen na povrchu. Pokud je sklovině poškozená, látky pronikají hlouběji a způsobují citlivost. Mnoho lidí po použití bělicích pásek začne cítit bolest při pítí studené vody nebo jídle.

Navíc, jakmile přestanete bělit a opět zapálíte cigaretu, barva se vrátí během několika dní. To vás někdy stojí tisíce korun ročně na bělicích produktech - a stále nemáte bílé zuby. Je to jako čistit nábytek, když doma neustále kouříte.

Ilustrace zubů s vnořenými škodlivinami a zanikajícími dásněmi, spojenými s kouřem.

Co skutečně pomáhá?

První a nejúčinnější krok je přestat kouřit. To je jediná věc, která zastaví další poškozování. Ale i když to nechcete udělat hned, můžete začít tímto:

  1. Používejte zubní pastu s obsahem triclosanu nebo zinku citrátu - tyto látky pomáhají zpomalit usazování plaku a zápachu.
  2. Čistěte si zuby dvakrát denně, ale ne hned po cigaretě. Po kouření je pH v ústech kyselé - čištění hned poté poškozuje sklovině. Počkejte alespoň 30 minut.
  3. Používejte niti nebo mezizubní kartáčky. Plak se usazuje mezi zuby, kde ho pasta nedosáhne. U kuřáků je to časté místo vzniku kazy.
  4. Navštěvujte zubního lékaře každých 6 měsíců. Nejen pro čištění - ale pro kontrolu dásní a raného zjištění rakoviny ústní dutiny.

Zubní lékař může udělat profesionální čištění pomocí ultrazvuku a směsi jemného písku. To odstraní i ty nejtvrdší skvrny, které bělicí pásky nezvládají. Ale to je jen dočasné řešení - pokud nezastavíte kouření, vše se vrátí.

Když přestanete kouřit, co se stane s vašimi zuby?

Už za 24 hodin se začne zlepšovat krevní oběh v dásních. Za týden se sníží zánět. Za 3 měsíce se dásně začnou zase přiléhat k zubům. Za rok se riziko parodontózy sníží o 50 %. A co se týče barvy - zuby se nezmění automaticky, ale přestanou se barvit dále. To znamená, že profesionální čištění u zubního lékaře bude mít trvalý účinek.

Mnoho lidí, kteří přestali kouřit, si nechávají zuby bělit. A teprve teď, když už se nebarví, bělení funguje. Výsledek je trvalý. Zuby nevypadají jen bíle - vypadají zdravě.

Přechod od bílých zubů k poškozeným, symbolizovaný kouřem, který je příčinou poškození.

Co dělat, když nemůžete přestat kouřit?

Ne každý může přestat hned. Ale můžete snížit škodu. Zkuste:

  • Kouřit méně cigaret denně - i o půlku méně pomůže.
  • Nepřijímejte cigaretu hned po jídle - to zvyšuje vstřebávání škodlivin.
  • Pijte vodu hned po kouření - to opláchnete ústa a snížíte kyselost.
  • Nechte si udělat profesionální čištění každých 3 měsíce - ne každých 6.

Nikdy nezakládejte naději na bělicí pásku jako na řešení. Je to jako pokoušet se vymazat šmouhy z okna, když stále prší.

Ještě jednou - co je nejdůležitější?

Zuby kuřáka nejsou jen nekrásné. Jsou rizikové. Když máte žluté zuby, nejedná se jen o estetiku. Jedná se o příznak, že vaše tělo bojuje s chronickým poškozováním. Dásně se odšlapávají, zuby se uvolňují, riziko rakoviny ústní dutiny se zvyšuje. Bělicí pásky to nezastaví. Pouze přestání kouření může zvrátit tento proces.

Nejlepší bělení není ten, které koupíte v obchodě. Je to ten, který vás vede k tomu, abyste přestali kouřit. A to je krok, který nejen změní barvu vašich zubů - ale i vaši kvalitu života.

Proč se zuby kuřáků neodbarví jen bělicími páskami?

Bělicí pásky působí jen na povrchu zubů. U kuřáků je barva vnořená do sklovině, kde se tar a nikotin usazují trvale. Pásky neodstraní hluboké skvrny, jen dočasně osvětlí povrch - a jakmile opět kouříte, barva se vrátí za několik dní.

Je možné, aby zuby kuřáka byly bílé?

Ano, ale jen pokud přestane kouřit. Profesionální čištění a bělení u zubního lékaře mohou zuby vrátit k přirozené bílé barvě - ale pouze tehdy, když se už nebarví novými škodlivinami. Pokud kouříte dál, výsledek bude dočasný.

Jak rychle se zuby zčernají po začátku kouření?

První změny můžete vidět již po 3-6 měsících pravidelného kouření. Po roce je žlutá barva viditelná i nevzdělanému oku. Po 5 letech se často objevují tmavé skvrny u dásní a zubní sklovině je poškozená.

Může kouření způsobit ztrátu zubů?

Ano. Kouření je jedním z hlavních příčin parodontózy - onemocnění dásní, které způsobuje ztrátu kosti kolem zubů. Kuřáci mají třikrát vyšší riziko ztráty zubů než nekuřáci. Často přijdou o zuby v dospělosti, i když je jejich hygiena zdánlivě dobrá.

Je lepší používat elektrický kartáček, když kouřím?

Ano. Elektrický kartáček odstraňuje plak efektivněji než ruční. U kuřáků je plak hustší a tvrdší, takže elektrický kartáček s vibračním pohybem a tlakovým senzorem pomáhá udržet zuby čistší bez poškozování sklovině.